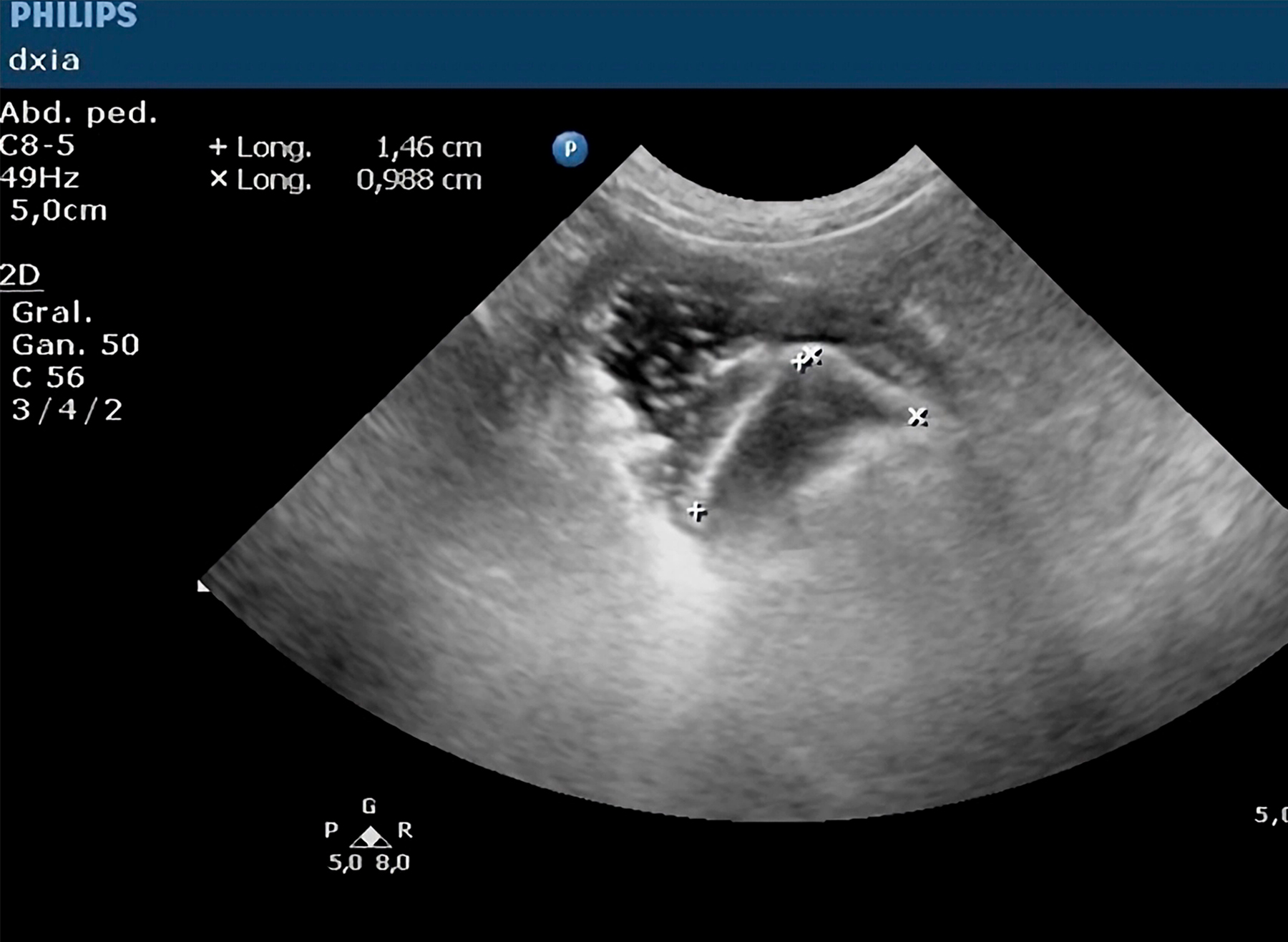
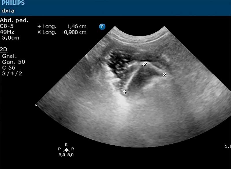
Cuerpo extraño/piedra
Caso Clínico: Correlación Diagnóstica (Ecografía y Quirúrgica)
Paciente: Sin especificación.
Motivo de Consulta: Vómitos refractarios al tratamiento médico, caquexia y anorexia de 48 horas de evolución.
Motivo de Consulta: Vómitos refractarios al tratamiento médico, caquexia y anorexia de 48 horas de evolución.
Hallazgos Ecográficos:
Estructura linear hiperecogénica con sombra acústica posterior de morfología punzante, provocando distensión del segmento correspondiente del intestino delgado.
Estructura linear hiperecogénica con sombra acústica posterior de morfología punzante, provocando distensión del segmento correspondiente del intestino delgado.
Resolución y Evolución:
Confirmación quirúrgica de cuerpo extraño (piedra). Resolución del cuadro clínico tras la extracción.
Confirmación quirúrgica de cuerpo extraño (piedra). Resolución del cuadro clínico tras la extracción.
Otros Casos
¿Interesado en nuestros servicios?