Piometria
Caso Clínico: Correlación Diagnóstica (Ecografía y Quirúrgica)
Paciente: Hembra íntegra.
Motivo de Consulta: Distensión abdominal, vómitos, anorexia y rigidez abdominal.
Motivo de Consulta: Distensión abdominal, vómitos, anorexia y rigidez abdominal.
Hallazgos Preliminares:
El perfil hemato-bioquímico descartó leucocitosis, evidenciando únicamente una leve alteración de los parámetros renales. La evaluación radiográfica abdominal no mostró hallazgos relevantes.
El perfil hemato-bioquímico descartó leucocitosis, evidenciando únicamente una leve alteración de los parámetros renales. La evaluación radiográfica abdominal no mostró hallazgos relevantes.
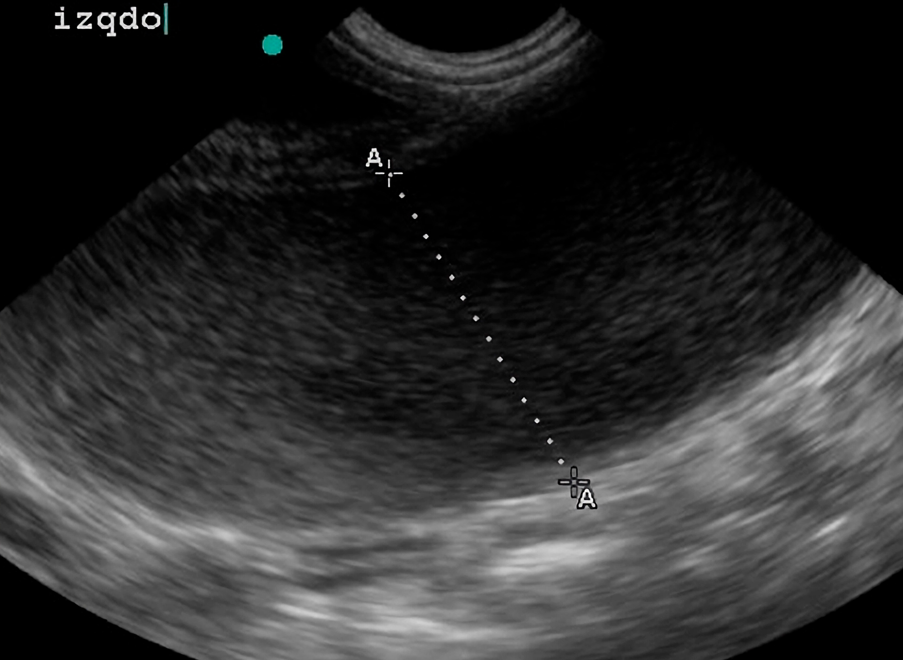
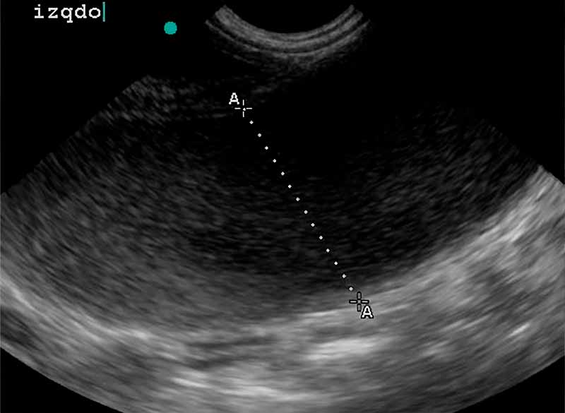
Estudio Ecográfico Especializado:
Se identificó una distensión abdominal marcada con presencia de contenido líquido patológico compatible con proceso uterino.
Se identificó una distensión abdominal marcada con presencia de contenido líquido patológico compatible con proceso uterino.
Resolución y Evolución:
Confirmación quirúrgica de piometra. La paciente presentó una evolución postoperatoria favorable.
Confirmación quirúrgica de piometra. La paciente presentó una evolución postoperatoria favorable.
Otros Casos
¿Interesado en nuestros servicios?