Tumor Explénico / Tumor de Bazo
Caso Clínico: Correlación Diagnóstica (Ecografía e Histopatología)
Paciente: Especie y edad no especificadas.
Motivo de Consulta: Distensión abdominal, apatía y anemia leve confirmada analíticamente.
Motivo de Consulta: Distensión abdominal, apatía y anemia leve confirmada analíticamente.
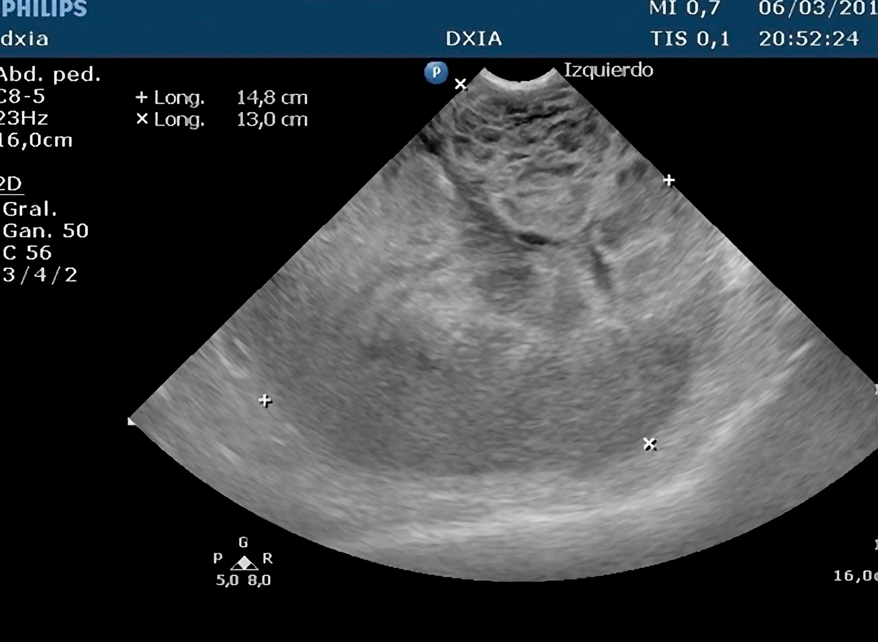
Hallazgos Ecográficos:
Se evidenció interrupción de la continuidad de la cápsula esplénica y una formación heterogénea con efecto masa.
Se evidenció interrupción de la continuidad de la cápsula esplénica y una formación heterogénea con efecto masa.
Resolución y Evolución:
Se realizó exéresis quirúrgica directa sin PAAF previa. El estudio histopatológico confirmó hemangiosarcoma. Los propietarios declinaron terapia oncológica coadyuvante.
Se realizó exéresis quirúrgica directa sin PAAF previa. El estudio histopatológico confirmó hemangiosarcoma. Los propietarios declinaron terapia oncológica coadyuvante.
Otros Casos
¿Interesado en nuestros servicios?