Prometiendo servicios de la mejor calidad

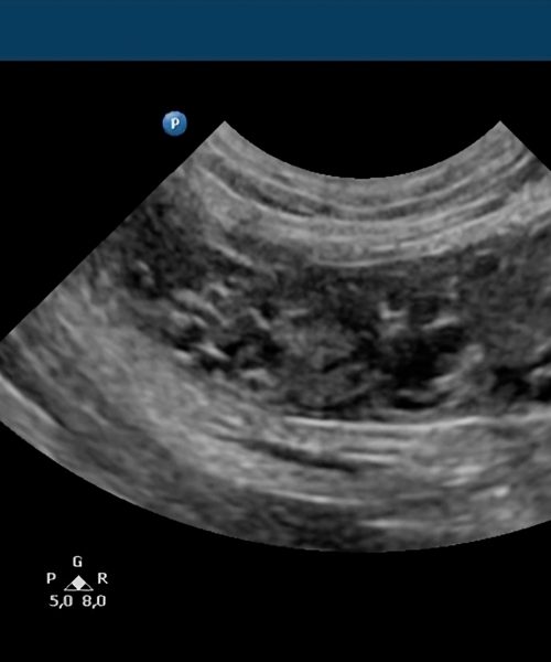
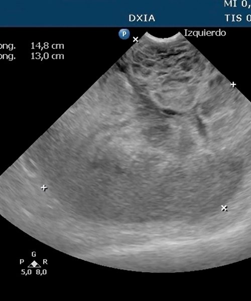
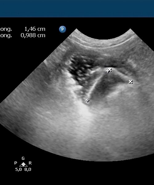
Trabajos realizados por dxia

Ofrezco especialización en ecografía veterinaria y una colaboración integral basada en vuestro historial clínico.
Valido la precisión diagnóstica comparando las imágenes ecográficas con los hallazgos quirúrgicos reales.
Garantizo transparencia y confianza exhibiendo en este apartado casos reales con su correlación intraoperatoria documentada.